Скловолоконні штифти в стоматології – оптимальний підхід до відновлення зубів
Скловолоконні штифти в стоматології завойовують своє місце як оптимальний підхід до відновлення зубів. Чому? Бо сучасні медичні рішення дозволяють досягти небаченої раніше якості лікування. Це не просто нові технології, це ціла революція в роті!
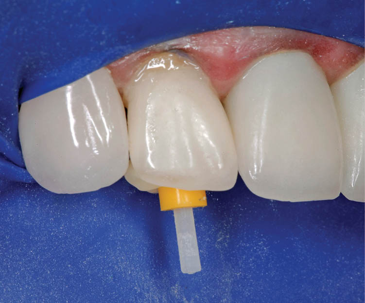
Що таке скловолоконні штифти?
Ці елементи — справжні герої стоматології. Вони не лише посилюють корінь зуба, але й забезпечують стабільність, що дарує зубу друге життя. В основі штифта — міцне скло, сплетене у волокна. Це дає унікальну еластичність і надзвичайну міцність.
Коли зуб очищено і підготовлено, скловолоконний штифт майстерно вкладається у кореневу порожнину. А потім? Потім на цей фундамент накладається коронка чи інша реставрація.
Переваги скловолоконних штифтів
-
Еластичність
Скловолоконні штифти витримують шалені навантаження! Жування – не проблема. Їхня гнучкість дозволяє легко адаптуватися до будь-якого тиску, що не спричиняє ламання.
-
Малоінвазивність
Процедура їх встановлення дбайлива. Потрібно сильно встрягнути у корінь? Ні. Штифт ідеально підходить, ніби був там завжди.
-
Естетика
Штифти прозорі як хрусталь. На передніх зубах вони непомітні. Прощавайте темні, металічні відтінки. Тепер зуби виглядають природно та сказано красиво!
-
Безпека
Штифти скловолоконні – це безпека! Вони не окислюються, не викликають алергії. Ідеальні союзники здорової ротової порожнини.
Коли потрібні скловолоконні штифти?
Застосування зрозуміле наступним чином:
- Після кореневого лікування – ідеально для зубів, що втратили міцність.
- При великих пошкодженнях – для надання стабільності зубам з великими дефектами.
- Відновлення передніх зубів – досконале рішення, коли важливі не тільки функції, але й краса.
Детальніше про обставини використання
Чи часто стикаєтеся з кореневим лікуванням? Скловолоконні штифти приходять на допомогу. Вони підтримують зуб, який пройшов складний шлях лікування. Зміцнюють та відновлюють його структуру.
А як бути з великими пошкодженнями?
Якщо зуб знищено? Штифти зміцнюють його, надають йому впевненості. Запобігають розтріскуванню та ламанню. Завдяки цьому зуб готовий до нових пригод!
Скловолоконні штифти – це справжня революція в стоматології. Вони змінюють підхід до відновлення зубів, дарують впевненість та якість. Для кожного пацієнта це шанс отримати трохи більше, ніж просто зуб. Отримати здоровий, міцний усміх. Чи варто ще шукати кращих рішень? Навряд чи.

Заключення
Скловолоконні штифти – це не просто чудо техніки. Це інноваційний підхід, що дозволяє повернути зубам життя і красу. Завдяки цим елементам стоматологи можуть досягти найкращих результатів, що покращують якість життя пацієнтів. І хоча сучасні технології завжди підкидають нові виклики, скловолоконні штифти вже сьогодні змінюють майбутнє стоматології. Це значуща інвестиція в здоров’я та красу вашої усмішки.
Можливо, ви вже замислилися про необхідність змін у своєму щоденному догляді за зубами. Подумайте про це. І нехай ваша усмішка сяє впевненістю і здоров’ям!







