МРТ з контрастом і без: різниця
Отже, ти задумався про МРТ з контрастом і без, різниця, на перший погляд є очевидною, але… не все так просто. Які ж секрети приховують ці дослідження? Це не просто медична процедура. Це справжня подорож у глибини людського тіла, коли звичайний огляд не може відкрити всіх деталей.
Що таке МРТ?
Магнітно-резонансна томографія (МРТ) – це медичний інструмент, який використовує потужний магніт, радіочастотні хвилі та комп’ютер для отримання чітких зображень внутрішніх органів. Процедура, що виглядає натисненням кнопки, але завдяки якій лікарі можуть проникнути до найглибших, найпотаємніших куточків людського тіла.
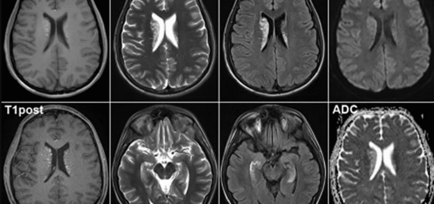
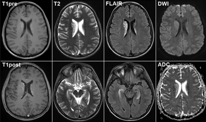
Різниця між МРТ з контрастом і без
Коли з’являється складна ситуація – що вибрати: МРТ з контрастом чи без? Отже, наскільки важлива ця різниця?
- МРТ без контрасту: чудово підходить для загального обстеження. Добре для початку, для швидкого огляду без зайвих ускладнень.
- МРТ з контрастом: тут уже інша справа, серйозніше. Підходить для виявлення пухлин, судинних аномалій і інших “злидників”, які ховаються вдало.
Як це працює?
Уяви собі: ти у стартовому космічному кораблі… Було б нудно, якби не контрастна речовина. Вводять тобі в вену, і раптом увесь світ починає “згоряти” на екрані! Це не магія, це наука.
Переваги та недоліки контрастного МРТ
| Переваги | Недоліки |
|---|---|
| Поліпшена візуалізація судин | Можливість алергічних реакцій |
| Краще розпізнавання пухлин | Дорожче |
| Підтримка деталізації структур мозку | Деякі побічні ефекти |
Коли використовувати МРТ з контрастом
Багато хто задається питанням, а коли ж варто обрати саме цей варіант: МРТ з контрастом. В принципі, лікар не завжди просто так обере цей метод.
- Підозра на пухлину: якщо є ризик раку — тут все очевидно.
- Аномалії судин: у випадках, коли тебе мучать думки про аневризми?
- Запальні процеси: так, навіть вони можуть ховатися.
Безпека та рекомендації
Кілька слів про безпеку. Звісно, процедура не без ризиків, але чи варта вона цього? Що переважує: достовірна діагностика чи потенційні ризики?
Завжди запитуй свого лікаря про можливі варіанти. І пам’ятай, без “можливо” чи “ймовірно”. Ваше здоров’я — ваша відповідальність.
Особисті враження
Ось що цікаво… Хоча це лише медична процедура, відгуки завжди різні. Комусь все байдуже, інші ж… з посмішкою чи навпаки.
Отже, що вибрати — МРТ з контрастом чи без? Різниця вартує уваги, так. Але рішення остаточне — за вами!
Погляньте на МРТ не лише як на діагностичний інструмент. Це вікно у ваше власне тіло. Що ж, час зробити вибір, мій друже. Тільки вперед. . .







